

歯をできるだけ守りながら、
前歯の色・形・すき間を整える。
精密な診断と設計で、
自然で美しい口元を目指します。


名古屋・栄のラミネートベニア専門外来のナオキ歯科 名古屋栄クリニックでは、
見た目の変化だけを目的にせず、診査診断から設計、
装着後の管理までを一連の医療として考えています。
ラミネートベニアをご検討の方へ、治療方針の軸となる4つのポイントをご紹介します。
01

ラミネートベニアの仕上がりは、歯科医師の形成や接着操作だけでなく、技工物の精度と色調設計に大きく左右されます。
名古屋栄のラミネートベニア専門外来のナオキ歯科 名古屋栄クリニックは、Made in Japanの技工物にこだわり、愛知・名古屋のカナレテクニカルセンターのセラミックセクションリーダーである加藤尚則(歯科技工士)と連携して製作体制を整えています。写真や情報共有を重ねながら微差を詰めていくことで、透明感や質感まで違和感の少ない自然な仕上がりを目指します。
国内技工所と密に連携できることは、完成イメージのすり合わせや品質管理、万一の微調整のしやすさという点でも大きな利点になります。

1992年
名古屋デンタル技工士学院 卒業
1992年
愛知県半田市 村井歯科 入職
1998年
大阪セラミックトレーニングセンター 卒業
1998年
株式会社カスプデンタルサプライ 入社
クラレノリタケデンタル株式会社 国際インストラクター
02

ラミネートベニアは万能な治療ではなく、向き不向きがあります。
歯の位置や歯ぐきの状態、噛み合わせの負担まで含めて総合的に評価し、ラミネートベニアが適しているのか、矯正やダイレクトボンディング、クラウンなど別の方法が望ましいのかを整理したうえでご提案します。
見た目だけでなく、長期的に安定する選択かどうかを重視します。
03

審美治療であっても土台は歯の健康です。
歯は一度削ると元に戻らないため、必要最小限の形成でエナメル質をできるだけ残すこと、接着の前処理や手順を丁寧に行うことを重視します。
見た目を整えるだけでなく、将来の再治療リスクまで見据えた設計で、納得感のある治療を目指します。
04

前歯は見た目の中心である一方、噛み合わせの影響を受けやすい部位です。装着時の調整だけでなく、治療後も定期的にチェックを行い、噛み合わせの変化や負担の偏りを確認します。
歯ぎしり・食いしばりが疑われる場合は、必要に応じてナイトガードなども含めて、破損や脱離のリスクを下げるための管理をご提案します。


当院では、ラミネートベニアのみを前提とした提案は行いません。矯正治療やダイレクトボンディング、クラウン治療なども含めて比較し、それぞれの特長や注意点を分かりやすくご説明します。審美性だけでなく、将来的な歯の健康や再治療の可能性まで見据え、患者さまが十分に理解したうえで選択できるようサポートしています。
できるだけ短期間で前歯の印象を整えたい、歯への負担を抑えながら見た目を改善したい。そのようなお考えをお持ちの方は、まずは現在のお口の状態を確認することから始めてみてはいかがでしょうか。名古屋・栄エリアで通院しやすい立地にある当院が、一人ひとりに適した治療方針を丁寧にご提案いたします。

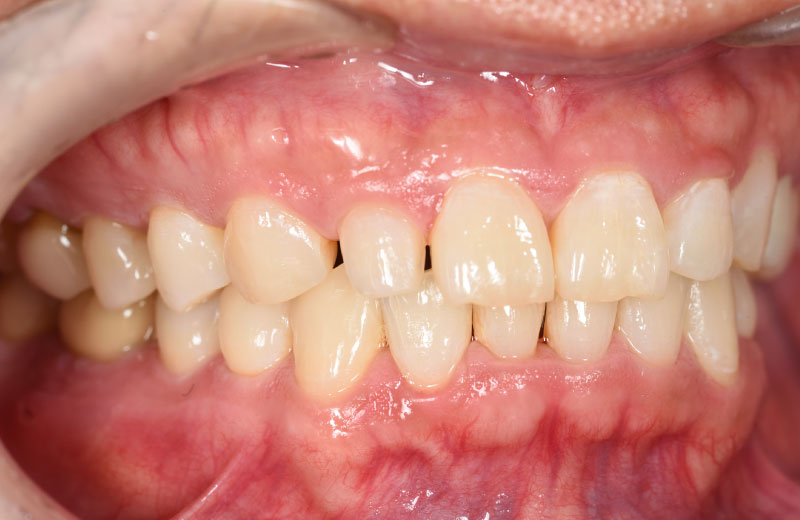
before

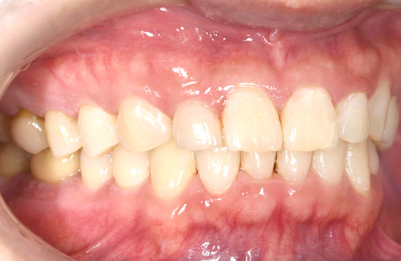
after
詳細を見る
詳細を閉じる
| 治療内容 | 左上2のラミネートベニア |
|---|---|
| 年齢・性別 | 40代男性 |
| 通院期間・回数 | 2回 |
| 費用 | |
| リスク・注意点 |
施術の際には歯の表面をわずかに削る必要があり、一度削った歯は元に戻すことができません。 また、個人差はありますが、治療後に知覚過敏の症状が出ることがあります。 次に、ラミネートベニアは強い衝撃や歯ぎしり・食いしばりによって、欠けたり外れたりする可能性があります。 そのため、噛み合わせの状態や生活習慣によっては、ナイトガード(マウスピース)の使用をおすすめする場合があります。 さらに、接着部分のケアが不十分な場合、隙間から虫歯(いわゆる二次虫歯)が発生するリスクもあります。 長く良い状態を保つためには、日々の丁寧なセルフケアと定期的なメンテナンスが欠かせません。 また、ラミネートベニアには寿命があり、一般的には10年〜15年程度で再治療が必要になることがあります。 経年による変化や周囲の歯との色調の違いが生じる可能性も考慮する必要があります。 |
| 執刀医 | Dr.裕紀 |

歯の表面を
薄く削るだけで
済む
歯と歯の間の
隙間を
埋められる
治せない
歯の変色も
改善
いびつな
歯の形を
綺麗に整える
名古屋栄のラミネートベニア専門外来のナオキ歯科 名古屋栄クリニックでは、治療に入る前の診査診断を大切にしています。歯の位置関係や噛み合わせの状態を確認し、必要に応じてシミュレーションを行いながら、完成イメージを共有します。そのうえで、医学的な適応と審美的なご希望の両面を踏まえた治療計画を立案しています。
ラミネートベニアは、ホワイトニングでは改善が難しい変色歯や、軽度のすき間、歯の大きさや形のアンバランスなどに対して選択肢となることがあります。ただし、すべての症例に適しているわけではありません。歯ぎしりや食いしばりの力が強い場合や、噛み合わせの負担が大きい場合には、別の治療法が望ましいケースもあります。そのため、見た目の改善のみを基準にするのではなく、長期的な安定性を考慮した判断が不可欠です。
前歯の審美改善には、ラミネートベニア以外にも複数の方法があります。代表的なものがクラウン治療と矯正治療です。それぞれの目的や適応を理解したうえで選択することが重要です。
当院では、ラミネートベニアのみを前提とした提案は行いません。クラウンや矯正治療、ダイレクトボンディングなども含めて比較し、それぞれの利点や注意点を丁寧にご説明します。患者さまご自身が納得したうえで選択できる環境を整えることを大切にしています。
前歯は顔全体の印象に直結する重要な部位です。同時に、一度削った歯は元に戻すことができません。だからこそ、審美性と機能性を両立させ、将来を見据えた治療計画を立てることが求められます。名古屋・栄でラミネートベニアをご検討の方は、まずは現在のお口の状態を確認し、ご自身にとって適切な選択肢を一緒に考えてみてはいかがでしょうか。
前歯の見た目に関する悩みは、患者さまごとに異なります。鏡を見るたびに気になるわずかなすき間、生まれつき小さめの前歯、少しだけ傾いている歯並び、歯の表面に現れる白い斑点、神経を失ったことで暗く見える歯。日常生活に大きな支障がないように思えても、口元の印象はご本人にとって大きなテーマになることがあります。
名古屋栄のラミネートベニア専門外来のナオキ歯科 名古屋栄クリニックでは、見た目の変化だけでなく、機能面や将来的な安定性も踏まえたうえで適応を慎重に判断しています。

ホワイトニングは歯を削らずに明るさを引き出す方法ですが、すべての変色に対応できるわけではありません。抗生物質の影響による変色や、神経を失った歯の暗色化、内部からの色調変化などは、表面処理のみでは十分な効果が得られない場合があります。
このような症例では、ラミネートベニアにより色調をコントロールすることが一つの選択肢となります。内部の色に影響されにくいセラミック素材を用いることで、自然な白さと透明感の両立を図ります。ただし、元の歯の色が強い場合には、遮蔽性の高い素材の選択や設計上の工夫が必要です。
当院では、まずホワイトニングやダイレクトボンディングなど、歯への負担が比較的少ない方法が適応となるかを検討します。そのうえで、より安定した審美改善が求められる場合にラミネートベニアをご提案しています。常に複数の選択肢を提示し、患者さまが十分に理解したうえで治療を選択できるよう配慮しています。
前歯はわずかな変化でも印象に大きく影響する部位です。
一方で、治療には適応と限界が存在します。だからこそ、精密な診査診断と丁寧な説明が欠かせません。名古屋・栄エリアで前歯の見た目にお悩みの方は、まずは現在の状態を確認し、どの治療法が適しているのかを知ることから始めてみてはいかがでしょうか。当院が、美しさと機能性を両立させる治療計画をご提案いたします。

名古屋栄のラミネートベニア専門外来のナオキ歯科 名古屋栄クリニックでは、治療前の診査診断を重視し、どの範囲まで削る必要があるのかを慎重に見極めています。単に審美性を追求するのではなく、歯質の保存という観点も含めて治療計画を立案することを大切にしています。
歯は一度削ると元の状態に戻すことができません。そのため、形成の範囲や深さは将来的な歯の寿命にも影響します。歯質が多く残されているほど、歯そのものの強度は保たれやすく、万が一再治療が必要になった場合にも選択肢が広がります。
ラミネートベニアは単に薄いセラミックを貼り付ける処置ではありません。削除量のコントロール、接着技術、噛み合わせの設計などが複合的に関わる繊細な治療です。当院では、咬合状態や歯ぎしりの有無も確認し、必要に応じてナイトガードの併用を含めた長期的な管理計画をご提案しています。
審美性の向上と歯の健康維持は、どちらか一方を優先するものではありません。削る量が少ないという言葉の背景には、歯の寿命を守るという医学的な意味が込められています。名古屋・栄でラミネートベニアをご検討の方は、見た目の変化だけでなく、将来を見据えた治療かどうかという視点も大切にしてみてはいかがでしょうか。




カウンセリングから
装着までのステップ
ラミネートベニアは、口元の印象を整える審美治療であると同時に、高い精度が求められる医療行為です。比較的短期間で変化を実感できる可能性がある一方で、診査や準備を簡略化することはできません。見た目の美しさと長期的な安定性の両立には、段階を踏んだ丁寧なプロセスが不可欠です。
ナオキ歯科 名古屋栄クリニックでは、ラミネートベニア治療を次の順序で進めています。





当院では、患者さまのご予定にも配慮しながら、医学的に無理のない範囲で治療計画を立てています。結婚式や大切な行事を控えている方のご相談にも可能な限り対応しますが、安全性や予後を損なうような進行は行いません。
前歯の印象を大きく変える治療であるからこそ、各工程が仕上がりに直結します。名古屋・栄でラミネートベニアをご検討の方は、通院回数だけでなく、その過程でどのような診査や準備が行われるのかにも目を向けてみてください。丁寧なプロセスを経ることが、長く満足できる結果につながります。

名古屋栄のラミネートベニア専門外来のナオキ歯科 名古屋栄クリニックでは、治療前のカウンセリングを大切にしています。
現在のお悩みに対して本当にラミネートベニアが適しているのか、他により適切な方法がないかを丁寧に検討します。審美面の改善だけでなく、歯の寿命や将来的な再治療の可能性も含めて説明し、十分な理解を得たうえで治療に進みます。

審美治療は理想の口元に近づくための一つの方法ですが、その土台となるのは歯の健康です。利点だけを強調するのではなく、注意点や適応外の可能性も率直にお伝えすることが信頼につながると考えています。
名古屋・栄でラミネートベニアをご検討の方は、まずは現在のお口の状態を把握することから始めてみてはいかがでしょうか。当院では、審美性と機能性の両立を重視し、無理のない治療計画をご提案いたします。

代表的な選択肢として挙げられるのがe-maxです。
ガラス系セラミックに分類され、天然歯に近い透明感を表現しやすいことが特長です。光の透過が自然で、周囲の歯になじみやすいため、前歯の審美治療で選ばれることが多い素材です。
とくに元の歯の色が比較的明るく、強い遮蔽が不要なケースでは、e-maxの透明感を活かした仕上がりが期待できます。

一方、ジルコニアは高い強度を持つ素材として広く知られています。近年では審美性を高めたタイプも登場し、前歯の治療に用いられる場面も増えてきました。噛み合わせの力が強い方や、歯ぎしり・食いしばりが疑われる場合には、耐久性を考慮してジルコニアが候補となることがあります。ただし、素材の性質上、透明感の表現には設計上の工夫が求められる場合もあります。


当院では、素材名だけを提示して選択を促すのではなく、なぜその素材が適しているのか、どのような点に注意が必要なのかを丁寧にご説明します。審美性と機能性の両立を目指すためには、素材の特性を理解したうえでの選択が欠かせません。
前歯は顔全体の印象に直結する部位です。透明感を優先するのか、耐久性を重視するのか、変色への対応を重視するのか。患者さまの状況やご希望に合わせて、適切な素材と設計をご提案いたします。名古屋・栄でラミネートベニアをご検討中の方は、素材の違いも含めて一度ご相談ください。
自由診療である理由と
価格帯の考え方
ラミネートベニアは保険診療ではなく、自由診療に該当する治療です。公的保険が適用される治療は、主に機能回復を目的とした標準的な処置が前提となります。一方で、ラミネートベニアは見た目の改善という審美的要素を大きく含むため、使用できる材料や工程に制限を設けず、精度や質を追求できる自由診療という枠組みで提供されています。その結果、費用は全額自己負担となります。

当院では、治療前に費用の目安や内訳、想定される工程について丁寧にご説明し、ご不明な点が残らないよう努めています。費用面も含めて納得したうえで治療を選択していただくことが、安心につながると考えています。
ラミネートベニアは装着して終わる治療ではありません。むしろ、その後の管理が長期的な美しさと安定を左右します。セラミック自体は変色しにくい素材ですが、周囲の歯や歯ぐきの状態が変化すれば、口元全体の印象も変わります。加齢や生活習慣の変化によって歯ぐきのラインがわずかに変わることもあります。長く良好な状態を保つためには、日々のセルフケアと歯科医院での定期的なチェックが欠かせません。
ラミネートベニアは見た目の改善だけでなく、口腔全体の健康と密接に関わる治療といえます。
定期的な
噛み合わせと
接着の確認
必要に応じて
ナイトガードで
負担軽減
歯周組織の
健康管理
ズレや不具合の
微調整
10年という長い時間軸で考えたとき、適切に設計され、丁寧に管理されたラミネートベニアは、口元の印象を安定して保つ可能性があります。ただし、将来的に再製作が必要となるケースも想定されます。その際に歯質が十分に残っていれば、選択肢は広がります。だからこそ、初回治療の段階から将来を見据えた設計が重要です。
審美治療は一時的な変化を求めるものではなく、長期的な価値を見据えて選ぶ医療です。名古屋・栄でラミネートベニアをご検討の方は、目先の費用だけでなく、これから先どのように口元を維持していくのかという視点も大切にしてみてください。当院では、美しさと健康の両立を目指し、継続的なサポート体制を整えています。


ラミネートベニアは見た目の変化を実感しやすい治療ですが、歯を整える処置を伴う以上、慎重な判断が必要です。だからこそ、まずは現在の状態を正確に把握し、複数の選択肢を比較することが第一歩になります。
名古屋・栄で前歯の審美治療をご検討中の方は、まずはご相談から始めてみてはいかがでしょうか。当院では、お一人おひとりに合わせたオーダーメイドの治療計画を通じて、美しさと健康の両立を目指したサポートを行っています。
contact us
疑問な悩み、ご相談ごとなど
何でもお聞かせください
治療に関するご予約・お問い合わせは
こちらから
ご予約・お問い合わせ
information
seminar & column
採用情報